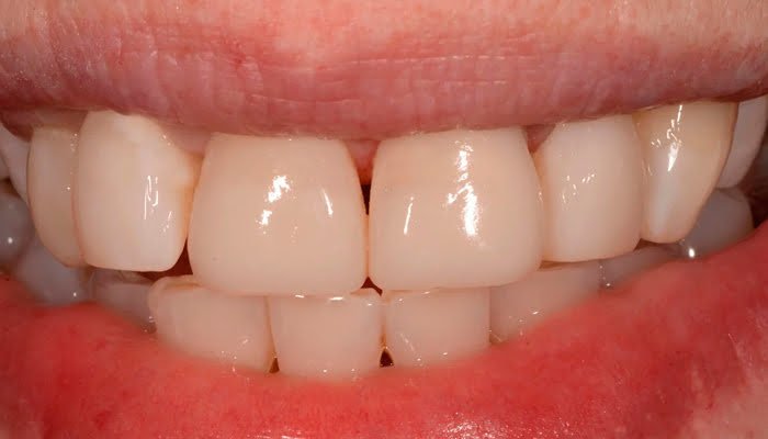
DiaShine blog DiaShine LUCIDA case by Dr. Monaldo Saracinelli Posted by bl_kmadm On July 6, 2020 Comments Off on DiaShine LUCIDA case by Dr. Monaldo Saracinelli “Thanks to LUCIDA Star rounded angles we acquire a variable thickness depending on the force and speed applied” Dr. Monaldo Saracinelli Style Italiano honorary member Active Member: AIC (Accademia Italiana di Conservativa)Active Member: IAED (Italian Academy of Esthetic Dentistry)Active Member Style Italiano Study ClubLecturer, Master of Endodontics and Restorative Dentistry, University of Siena, ItalyLecturer, Faculté d’Odontologie de l’Université de la Méditerranée Marseille, FranceLecturer, Dental Students Conference Pharos University Alexandria, EgyptAuthor and co-author of several publications in scientific international journalsLecturer in national and international courses and congresses