Elevating Composite Restorations with Precision Layering and Lucida Polishing by Style Italiano
Style Italiano’s recent clinical study on precision layering for anterior restorations highlights the power of integrating digital tools for accurate color matching and patient satisfaction. Through the OptiShade–CompoShade system, clinicians achieve a meticulous color match with each layer, creating restorations that mimic natural teeth.
The study, Precision Layering Techniques: Integrating Digital Tools for Accurate Color Matching and Realistic Try-Ins in Anterior Composite Restorations, by authors Jordi Manauta DMD, Gabriela Almeida DMD, MSc, Zsolt M. Kovacs-Vajna PhD, Valentin Vervack MSc, PhD, Osama Shaalan DMD, Walter Devoto DMD, Michela Faccoli PhD, Rui I. Falacho DMD, MSc, PhD and Angelo Putignano DMD, examines the impact of using the OptiShade–CompoShade system for precision color matching.
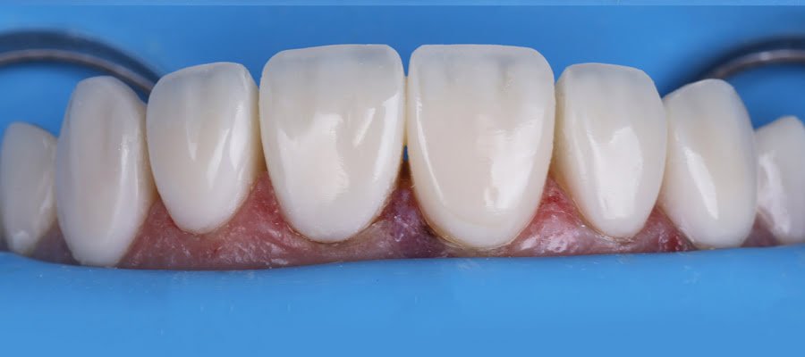
The study shows how layering composites in realistic try-ins, combined with Lucida by DiaShine for final polishing, achieves life-like translucency and an enamel-like finish. This technique streamlines shade-matching, enhancing aesthetic accuracy in dental restorations.
A crucial phase in this workflow is the final polish, where Lucida by DiaShine plays an essential role. After layering, the Lucida polish smooths and refines the restoration surface, ensuring a high-gloss finish that matches enamel’s natural sheen. The polishing phase doesn’t just enhance aesthetics; it helps create a uniform surface free of micro-bubbles, ensuring long-lasting results. With Lucida, ceramists can achieve a flawless finish that enhances light reflection, making the restoration virtually indistinguishable from natural teeth.
Lucida is an indispensable tool for any dental professional aiming to deliver seamless, aesthetic outcomes.