DiaShine blog

DiaShine LUCIDA case by Giuseppe Chiodera

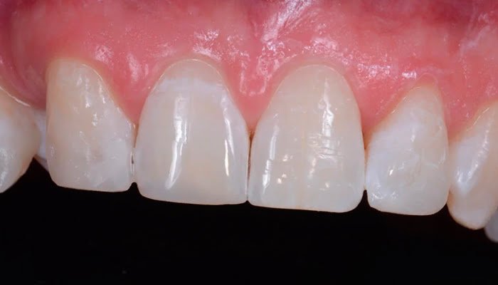
Composite restoration before polishing in DiaShine Lucida clinical case by Dr. Giuseppe Chiodera
Initial composite finishing step with DiaShine Lucida polishing system in clinical case
Application of DiaShine Lucida polishing paste during composite restoration surface preparation
Dentist using DiaShine Lucida felt on handpiece for surface refinement
Progressive polishing of composite restoration with DiaShine Lucida discs and paste
Clinician polishing composite restoration using DiaShine Lucida system in step by step sequence
Polishing composite surface with DiaShine Lucida felt stars for improved smoothness
Dentist refining the composite restoration surface using DiaShine Lucida in clinical case
Detail of DiaShine Lucida polishing tool on composite restoration surface
Intermediate polishing stage of composite restoration using DiaShine Lucida system
Close up of DiaShine Lucida polishing in action on composite restoration surface
Clinical polishing demonstration with DiaShine Lucida system for composite finishing
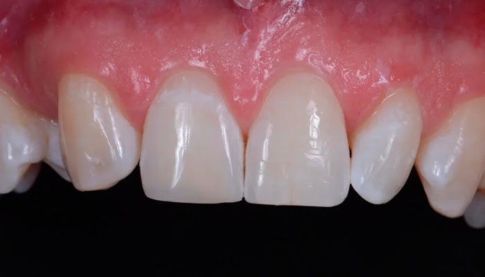
Finished composite restoration with high gloss after DiaShine Lucida polishing in clinical case by Dr. Giuseppe Chiodera
High gloss composite dental restoration result polished with DiaShine Lucida system
Final smooth and aesthetic composite restoration surface after DiaShine Lucida clinical polishing