DiaShine blog

DiaShine LUCIDA case by Nada Albatish

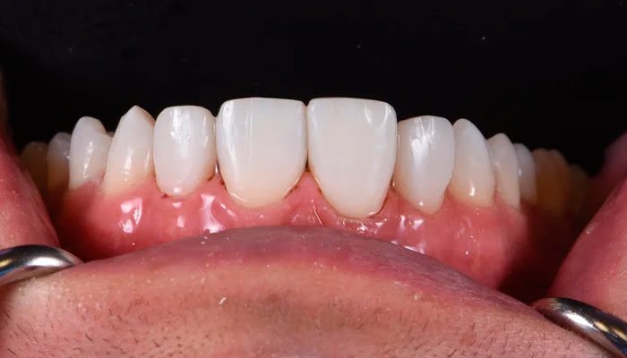
Composite restoration before DiaShine Lucida polishing in clinical case by Nada Albatish
Initial condition of composite restoration prior to polishing with DiaShine Lucida system
Start of DiaShine Lucida polishing sequence on composite restoration surface
Application of DiaShine Lucida polishing paste during composite finishing steps
Intermediate polishing stage with DiaShine Lucida system in clinical case by Nada Albatish
Close up of DiaShine Lucida polishing action during clinical composite restoration finishing
Detailed view of composite surface polishing using DiaShine Lucida system during clinical workflow
Final high-gloss composite restoration after DiaShine Lucida polishing in clinical case by Nada Albatish