DiaShine blog

DiaShine LUCIDA case by Osama Shaalan

Osama Shaalan demonstrating Lucida polishing technique on composite restoration
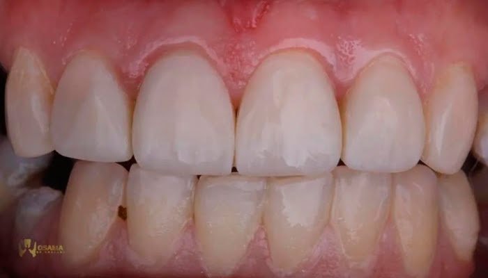
Close‑up of composite anterior tooth before Lucida polishing
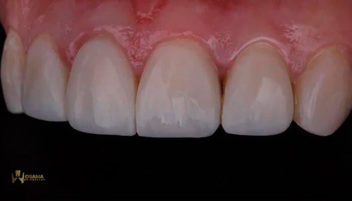
After Lucida polishing high‑gloss finish on composite restoration
Using Lucida Click felt star for initial composite polishing
Dentist performing step-by-step Lucida polishing on anterior teeth
Detail of composite surface after first Lucida polishing stage
Applying Lucida medium polishing paste for enhanced gloss
Lucida Click felt discs in use on composite restoration
Polishing composite restoration using rotational technique with Lucida
Dentist holding Lucida polishing system components for demonstration
Close-up of Lucida polishing paste texture and felt star
Mid-process composite surface showing improved gloss with Lucida
Applying final Lucida paste for high-luster finish
Dentist carefully polishing incisal edge with Lucida system
Step-by-step Lucida polishing showing progressive gloss levels
Close-up of polished composite surface reflecting light
Lucida polishing system used to contour and refine tooth shape
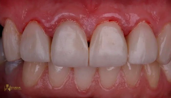
Before and after comparison of composite restoration gloss
Finished composite restoration with high-gloss achieved using Lucida
Detail of reflective surface on composite anterior tooth after Lucida polishing
Lucida polishing paste and felt stars demonstrating final finishing results